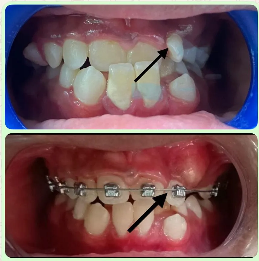
What Are Braces & Clear Aligners?
Braces and clear aligners are orthodontics devices, which are usually used as forms of tooth movement/correction, to improve teeth conditions such as crookedness (e.g., malocclusions), unusual gaps between the teeth (e.g., diastema), crowded teeth (e.g., tooth crowding), or bite problems (e.g. overbite/underbite). Traditional braces (which include metal brackets glued or cemented onto the teeth) are attached by wires, which are adjusted during the course of treatment, moving your teeth to their proper positions. Clear aligners are made using digital imaging technology that allows us to make custom trays that are removable and almost invisible (ideal for adults/professionals).
Dr. Deepak Kumar provides a variety of orthodontics for all ages and budgets at The Urban Smile Dental Clinic, Sainikpuri.

Benefits of Orthodontic Treatment
Correct crowding, spacing, gaps, and misalignment effectively
Straight teeth are easier to clean β reducing cavities and gum disease
A well-aligned smile transforms your confidence and facial aesthetics
A corrected bite improves chewing efficiency and reduces jaw strain
Alignment corrections can improve certain speech difficulties
Orthodontic treatment is effective for children, teens, and adults alike

Types of Braces & Aligners Available
The most affordable and time-tested option. Highly effective for complex alignment cases. Suitable for children and teenagers.
Tooth-coloured brackets that blend with your teeth β far less visible than metal braces. Great for adults who want discretion without the cost of aligners.
Removable, virtually invisible trays custom-made for your teeth. Ideal for mild to moderate cases. No dietary restrictions; remove to eat and brush normally.
Orthodontic Treatment Steps
Dr. Deepak examines your bite, teeth alignment, and jaw structure. X-rays taken to create a precise treatment plan.
You decide between metal braces, ceramic braces, or clear aligners based on your needs, lifestyle, and budget.
Brackets bonded to teeth (braces) or impressions taken for custom aligner trays. Treatment begins immediately.
Monthly check-ups to tighten wires or swap aligner trays, gradually progressing your teeth into correct position.
Once treatment is complete, a retainer is fitted to maintain your new smile permanently.